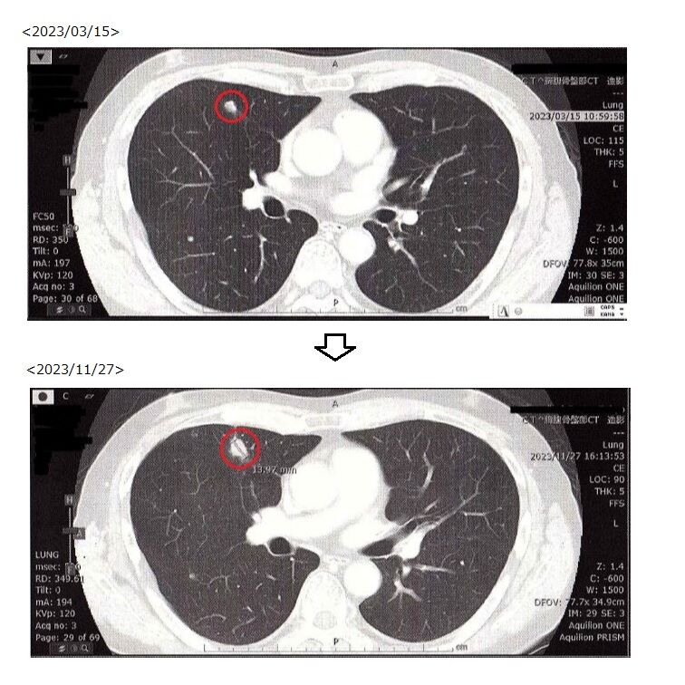
前回・・・
私の場合、がんと診断されたとき、RAS遺伝子変異型だったのですが、途中でRAS遺伝子野生型に変わることがあるそうで、改めて検査を行い、2週間後に結果がでます。
と書きましたが、結果がでました。
結果は、RAS野生型に変化してました
おかげで3年前に使えなかった抗EGFR抗体薬のパニツムマブが使えることになりました。今回、血液を採取して検査をしたのですが、この検査方法ができるようになったのは、この1年程度であること、またRAS野生型に変化するのも稀とのことで、まだまだ運が尽きてないなと・・・クリスマスプレゼントなのかな?
治療は正月明けに開始となります。がんがまた小さくなってくれればと願うばかりです

